放疗两周不到,坐轮椅的她竟站起走路了

发表时间:2023-10-25 10:18

在肿瘤科放化疗病房,每天都有患者人来人往。一位63岁的王婆婆(化名)吸引了工作人员余美华的目光。

当天,王婆婆放疗结束,从放疗机房的床上缓缓下床,在家属的陪伴下自行走出放疗室。这让余美华目瞪口呆!她记得很清楚,两周前,也是这位婆婆,精神状态很不好,是被轮椅推过来做治疗的,根本无法站立,每次放疗需要4位工作人员把婆婆抬上床。

图片

为何短短两周不到的时间,王婆婆的精神和身体状态呈云泥之别,究竟她经历了怎样的诊疗?

管床医生曾悦介绍,2022年7月4日,婆婆被确诊为乳腺癌 肺转移IV期。后来,她积极治疗,经历了化疗、免疫治疗,左侧乳腺肿瘤及肺部肿瘤较前明显缩小,病情得到了很好的控制。正当她认为自己的生活即将回到正轨时,命运又和她开了一个巨大的玩笑。她发现自己的右侧下肢“不太对劲”,走路使不上劲儿。于是,她在家属的陪同下来到医院检查。

图片

图片

王婆婆2022年7月2日入院

与2023年7月19日左侧乳腺肿瘤CT对比


图片

图片

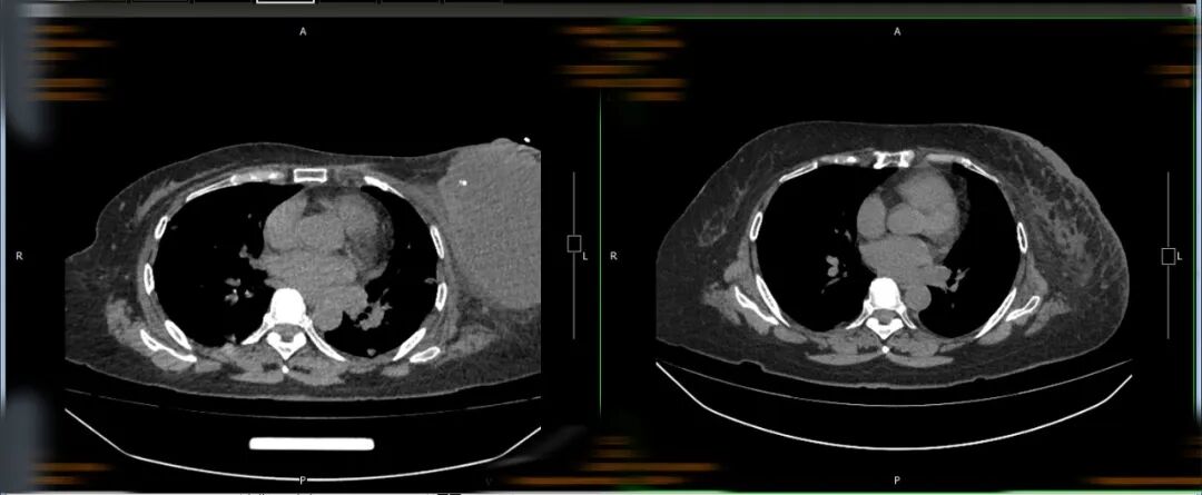
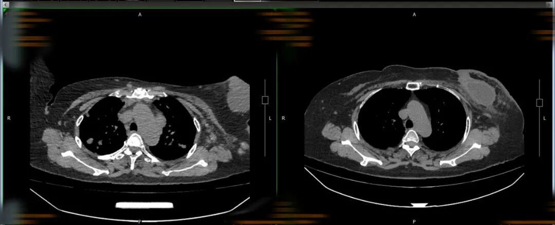
王婆婆2022年7月2日入院
与2023年7月19日肺部CT对比


入院时,婆婆右侧上下肢活动障碍并进行性加重,完善颅脑增强核磁,核磁示双侧额叶、左侧枕叶多发占位性病变,部分伴瘤周水肿,结合病史考虑转移瘤。

肿瘤科主任杨勇全面评估了王婆婆的病情,予全脑放疗联合脱水治疗。7次放疗结束后,婆婆右侧上下肢活动障碍较前明显缓解。所以出现了让工作人员余美华吃惊的一幕。

图片

王婆最近一次颅脑增核磁

婆婆的家属表示,自己对王婆婆的治疗情况非常满意,也会陪伴其继续完成余下的放疗。科室也针对婆婆的情况做出了后续治疗方案。

癌症发现得越早,治疗效果就越好,一旦发展到晚期很难治愈。因此,对癌症要做到“早发现、早诊断、早治疗”。癌症的早期症状往往都不明显,而是与诸多疾病有相同之处,如何从“蛛丝马迹”中捉住癌症,还需要大家留心,尽早检查及时诊断。